前一陣,77歲的王大爺在家里吃棗子時,不慎將棗核吞咽到了食管里。
“每年,我都會買點冬棗吃。這次沒有注意,一不小心把棗核吞了下去。”王大爺回憶道,“當時,喉嚨口不舒服,感覺有東西卡著,每天想通過吃飯把棗核往下“壓一壓”。
幾天過后,王大爺疼痛感沒有絲毫緩解,才意識到病情的嚴重,家人立即將他送到太原市中心醫院消化科汾東二病區就診。
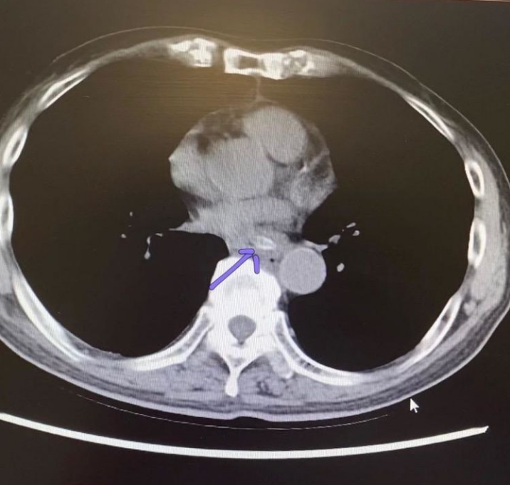
▲王大爺的胸部CT提示:食管下段可見一異物嵌頓
科主任李小會考慮異物已在患者食管內存在數天,棗核會隨著吃飯、說話甚至吞咽動作而越嵌越深,導致食管穿孔的風險極大,且該棗核嵌頓的位置緊鄰胸主動脈,如果刺破這根大血管,將導致致命性的大出血,后果不堪設想。為保證手術的順利實施,李小會在制定治療策略的同時,請心胸外科黃華元主任前來會診,最終決定在內鏡下為王大爺取異物:如果出現食管穿孔,可以在取出棗核后置入食管覆膜支架;若棗核穿孔入大血管,則可于大血管內植入覆膜支架進行血管修補后,再行異物移除操作。
內鏡進入食管內,發現棗核嵌頓在食管中段,且由于時間較長,三分之二的棗核已經嵌頓在食管壁內,棗核旁的胸主動脈“砰砰砰”地在搏動。李小會小心、謹慎地利用內鏡前端的透明帽反復觸之,將一側棗核松動后,利用異物鉗夾住棗核一端緩慢將其取出食管,憑借精湛的技術和團隊默契的配合,順利取出長達3厘米的棗核。
“兇手”雖被請出,危險卻并未解除。為了能讓王大爺盡早恢復腸內營養,李小會為王大爺留置了三腔喂養管,既能將胃內殘留的食物及胃酸減壓出來,避免返流后損傷食管創面,影響愈合加重感染,又能讓王大爺盡早恢復腸內營養,減少輸液量,一舉兩得。在醫務人員的悉心照護下,王大爺恢復良好,食管的創面已逐漸愈合。
醫學小科普
什么是消化道異物?
消化道異物是指各種原因造成的非自身所固有的物質滯留于消化道內,包括食道、胃、小腸、大腸,分為上消化道異物和下消化道異物。
消化道異物有哪些?
上消化道異物常見的有進食時“不小心”吞進的各種魚刺、骨頭、核類、食物團塊,甚至有牙簽;有兒童因“好奇心”吞進去的硬幣、鈕扣電池、玻璃彈珠等等;有老年人誤吞的帶包裝的藥片、義齒等等;有吸毒人員、罪犯等故意吞食的牙刷、筷子、打火機、彈簧等各種金屬片、鐵片等。下消化道異物分為從上消化道過來的和從肛門口塞進去的異物。
大多數的上消化道異物在被吞進去后會卡在食管,而又以食管入口居多。這時候患者會有咽喉部疼痛感、異物感、吞咽痛等不適,而其他部位的異物在短期內一般不會感到不舒服。如果異物在消化道內滯留的時間過久會出現發熱、胸痛、腹痛等癥狀,會出現穿孔、出血、食管氣管瘺、縱膈腹腔膿腫等嚴重并發癥,甚至死亡。
卡了異物怎么辦?
大多數人卡異物后會采取硬吞飯團、韭菜等粗纖維食物團等方法,試圖將異物“推下去”,還有的喝醋,想將魚刺“溶解”掉,其實這些都是錯誤的自救方法。將尖銳異物“硬推下去”,會有劃傷食管壁、將異物從卡在食管入口處推到卡食管第二狹窄處,此處緊鄰大動脈血管,會有扎入血管風險,危及生命。正確的做法是——停止進食,盡快到醫院就診,而且要告訴醫生“卡了什么異物”、“卡了多長時間”等,不能感覺到腹痛了才來醫院。
醫生會進行CT檢查,了解異物的位置、大小、形態、與周邊鄰近器官及大血管的關系等信息,為內鏡下取出提供重要指導依據。雖然少部分體積小、形狀圓鈍的異物可自行排出,但大多數的食管、胃內異物需要經胃鏡取出,大腸異物需經結腸鏡取出,而小腸的異物需經小腸鏡取出。與外科手術相比,通過內鏡取出食管異物的創傷小、費用低、醫源性并發癥少、患者的住院時間也相對較短,因此可作為首選治療措施。大的、特殊部位的、產生嚴重并發癥的異物只能尋求外科開刀救治。
科室介紹
太原市中心醫院消化科汾東二病區,于2020年8月引進山西省消化內鏡診療專家李小會主任醫師組建成立,以消化系統疾病的內科診療、消化內鏡診療、介入診療、微創外科診療為特色,可完成消化系統疾病的一站式診療。尤其擅長消化道梗阻性疾病的內鏡及X線下的介入診療,各種原因的消化道出血,特別是肝硬化食管胃底靜脈曲張的內鏡下介入治療、肝外膽管結石的十二指腸鏡下ERCP取石,各種膽胰疾病及梗阻性黃疸的ERCP診療,消化道息肉、早癌、黏膜下腫物的內鏡下切除。
技術特色
太原市中心醫院消化內鏡中心擁有目前最先進的日本進口奧林巴斯、富士能、繽得內鏡診療系統,可開展各種消化道疾病的內鏡下診療,包括:無痛苦胃腸鏡檢查,消化道癌前病變的內鏡下放大精查,高危患者的超細內鏡檢查,消化道疾病的超聲內鏡檢查,急性闌尾炎的內鏡下微創治療,各期內痔的內鏡及外科微創治療,消化道息肉、早期病變、粘膜下腫物的內鏡下切除(EMR、ESD、POME),消化道梗阻性疾病的營養管、支架、腸梗阻導管治療,消化道出血的內鏡下止血治療,內鏡及介入下胃造瘺,膽管結石梗阻性黃疸及膽胰疾病的ERCP診療,消化道腫瘤的化療,介入栓塞化療及微創手術治療。
門診地址
府城院區
太原市中心醫院府城院區:山西省太原市杏花嶺區解放路東三道巷1號。
交通指南:乘坐25路、3路、615路公交車至北肖墻壩陵北街口(征兵大廈),向西100米;乘坐610路(臨)、820路、820支路(臨)、829路(臨)公交車至解放路市中心醫院站,東二道巷向東200米即到。
汾東院區

太原市中心醫院汾東院區:山西省太原市小店區汾東大街256號,汾東大街與太茅路交叉路口東南角。
交通指南:乘坐公交車906,306路公交,賈家寨村下車可達。





















