科技驅動發展,健康引領未來。作為大健康產業的先行者和推動者,完美公司始終堅持為消費者提供優質產品和服務,不斷滿足消費者健康需求。
上期文章中,我們講解了完美公司“天然植物、生物活性肽、微生態、中醫藥”四大科研領域中的天然植物領域,讓大家對蘆薈的功效研究與檢測有了新的認識。
本期,讓我們一起走進種類豐富、功效繁多的生物活性肽領域。
前方高能知識預警,跟緊我的腳步,一同了解完美在沙棘籽蛋白肽、玉米肽等成分的創新發現吧!
什么是生物活性肽?
要想了解“生物活性肽”,我們首先要知道“肽”是什么。
肽是分子結構介于氨基酸和蛋白質之間的一類化合物,由2個或2個以上氨基酸分子通過肽鍵相互連接而成,其本身具有很強的生物活性。
氨基酸作為肽的基本結構單位,其種類、數目與排列順序的不同,決定了肽紛繁復雜的結構與功能。
根據來源可將肽分為內源性生物活性肽和外源性生物活性肽,外源性生物活性肽包括存在于動物、植物、微生物體內的天然生物活性肽和蛋白質降解后產生的生物活性肽成分。
我們平常聽到的“寡肽”或“多肽”等說法,其實就來源于肽的結合數量。通常2~10個肽稱為寡肽(又稱低聚肽或短肽),而10-50個肽被稱為多肽。
“肽”如其名,“生物活性肽”便是指肽家族里那些頗具活力的家伙。由于分子量小,它們能被人體輕松吸收,并在體內發揮自己特定的作用。
食源性生物活性肽是生科院的重點研究內容之一,它可以通過植物源(如豆類、谷物類)或動物源(如牛奶蛋白、肉制品蛋白、蛋類等)來獲取,安全性高、易于工業化生產,應用前景十分廣闊。
活性肽有什么用?
生物活性肽雖然有各種來源,但實力卻難分高低,在各自領域具有獨特的生理功能,不局限于蛋白質的補充營養作用,在增強免疫力、調節血壓血脂、護肝護膚等方面都有各自的卓越成效。
例如我們常說的玉米低聚肽,它是完美目前研究較為深入的一種生物活性肽,以玉米蛋白粉為原料,主要由短肽組成,繼承了小分子量的肽易吸收、穩定性好的優勢。
由于有特殊的氨基酸組成和連接方式,玉米低聚肽目前已發現具備調節血壓、控血糖血脂、抗疲勞、促進酒精代謝、保護酒精性或化學性肝損傷等生物特性,是重要的天然醒酒護肝成分之一。
生科院創新研究成果
完美在生物活性肽領域進行了十分深入的研究,經過十余年的持續投入與開發,取得了非常多的收獲,如今更是有三大階段性的創新研究成果:
1 沙棘籽蛋白肽
沙棘是含天然維生素種類非常豐富的樹種,沙棘葉及種子中含有大量蛋白質,是生物活性肽的優質來源之一。
通過完成分離功能性多肽分離鑒定、肽段檢測以及結構鑒定,我們發現了沙棘籽蛋白肽的53個肽序列及其組成,完成了安全與功能的評價。
沙棘蛋白及其酶解液對口服糖耐量OGTT的影響
沙棘蛋白及其酶解液對血糖的影響
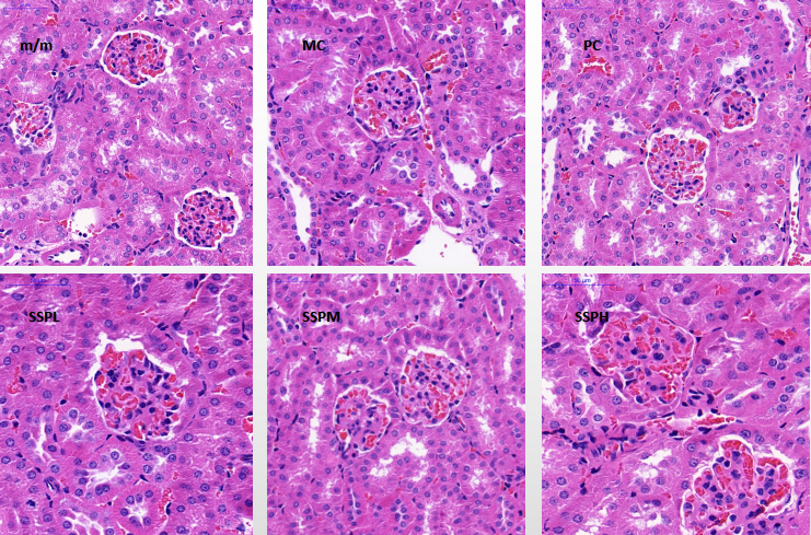
腎臟病理切片
白色細箭頭所指區域為腎小囊
紅色粗箭頭所指區域為基底膜
紅色顆粒為血紅細胞,藍色顆粒為細胞核
①正常小鼠(m/m)血細胞分布均勻,腎小球、腎小囊正常無明顯的病理改變;
②糖尿病未治療組(MC)血細胞分布凌亂,腎小球肥大,腎小囊擠壓性萎縮,基底膜增厚,病變明顯;
③沙棘蛋白低劑量組(SSPL)血細胞分布較均勻,腎小球輕微肥大、腎小囊局部萎縮,基底膜局部輕微增厚,病變癥狀不明顯;
④其他沙棘蛋白和酶解液劑量組都出現了腎小球肥大造成的腎小囊擠壓性萎縮,對腎臟的保護作用不如沙棘蛋白低劑量組顯著。
通過功能評價可以了解到,沙棘籽粕蛋白及酶解液能有效保護糖尿病小鼠的臟器,可顯著改善糖尿病小鼠“三多一少”的癥狀,為未來開發有關體重管理和降糖的相關內容提供了堅實的科研基礎。
2 雞源性二肽
雞源性二肽來自食源性生物活性肽中的動物源,通過研制制備方法,我們證實了雞源性二肽對氧化應激誘導肝損傷的保護作用,這也是首次發現雞肉中游離的活性二肽具有護肝作用。
CPP逆轉氧化應激導致的雞胚死亡及肝損傷
抗氧化緩解肝臟損傷
實現該作用主要是因為雞源性二肽能逆轉氧化應激導致的雞胚死亡及肝損傷、能夠抗氧化緩解肝臟損傷。對于該成果,完美已構建了雞源性二肽的相關核心知識產權。
3 玉米肽
前面我們已經了解到,小分子量的玉米低聚肽具有優秀的易吸收性、穩定性和多種生理功能,本次研究我們對玉米肽的寶藏功效又有了更深入的了解。
研究發現,玉米肽中的特異性活性肽:寡肽亮氨酸-脯氨酸-苯丙氨酸(LPF)對高糖誘導神經管發育缺陷具有保護作用。
LPF增加雞胚脊柱體節數及胚胎長度
LPF改善高糖誘導的神經管閉合障礙
通過深入研究LPF神經管發育障礙的保護機制,我們對其生理應用進行了一定的探索,并已申請發明專利《寡肽或其衍生物在制備改善神經管缺陷藥物或食品中的應用》(專利申請,尚未授權)
專利申請號:202111237709.X。
食源性生物活性肽雖“小”,但對于它的研究,還有很大的空間等待我們去探索。
未來,完美生科院將不斷深入研究沙棘肽、膠原肽、雞肽、玉米肽等核心食源性生物活性肽原料,將完美生物活性肽領域提升至新的臺階。
















